Revolutionizing Dental Surgery-

Harnessing AI for Precision-Guided Surgical Solutions

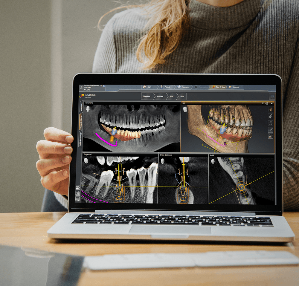
Moderator Jim Mayer, Director of Education at Vatech America and our expert panel Craig Hennings, President of SICAT, and Xenia Mardak, SICAT’s Director of Strategic Accounts invite you to join us for an engaging online seminar where we explore how Vatech and SICAT software transforms dental practices by streamlining workflows and enhancing efficiency.

  • Understand how your CEREC technology can be harnessed for optimal integration with your Vatech equipment.
  • Discover how innovative AI technology drives superior surgical outcomes, ensuring precision and predictability in every procedure.
  • Learn how SICAT delivers a significant return on investment by optimizing clinical and operational performance and see how these advancements elevate the patient experience, fostering trust, comfort, and satisfaction. 

Presented by

img

Craig Hennings

Craig Hennings has been in the dental industry for over 35 years, with experience in digital dentistry since 1994. His career includes helping the early adoption of digital x-rays (both intra oral and extra oral), CADCAM dentistry, and 3D-CBCT imaging. Craig is the President of SICAT USA’s sales and support.

img

Xenia Mardak

Xenia Mardak is a trained master dental technician with work experience in Germany, USA and Australia.

In 2008 she left the lab and started working in the dental industry.

Xenia joined the team at SICAT in 2011 to share her knowledge and skills as a support specialist, product trainer and now director of strategic accounts.