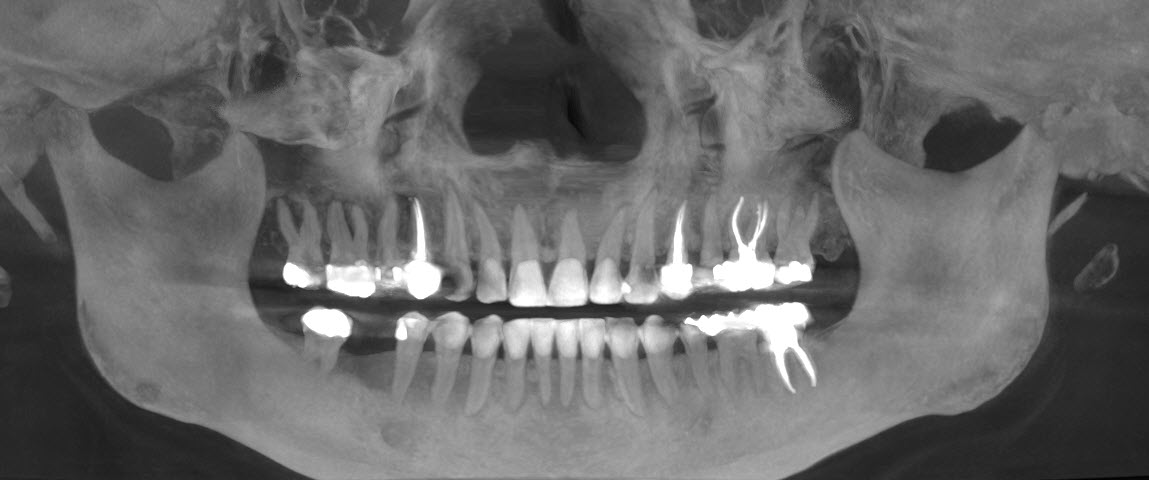
3D Pan- Optimized

Vatech 20 Minute Lunch Learning Sessions

Invest 20 minutes learning how create the optimal 3D Panoramic from your CBCT data set.  You supply the lunch and we supply the training. 

Learn:

1. 3D Panoramic adjustment

2. 3D Panoramic image capture and export

3. Discuss why patient positioning is important for 3D Pan rendering

Join the Vatech Education Team for this 20 minute Data Export Session

Presented by

img

James Mayer

Director of Education

img

Paul Citone

Education Specialist